Mòn cổ chân răng là một trong những bệnh lý về răng miệng khá phổ biến. Căn bệnh này không chỉ gây khó khăn cho việc ăn nhai và vệ sinh răng miệng mà còn làm hàm răng mất đi tính thẩm mỹ, khiến nhiều người cảm thấy tự ti khi cười, nói. Vậy mòn cổ chân răng là gì? Nguyên nhân gây bệnh và cách điều trị như thế nào? Hãy cùng Nha Khoa Hoàng Dung theo dõi ngay bài viết dưới đây để có câu trả lời.
Mòn cổ chân răng là gì?
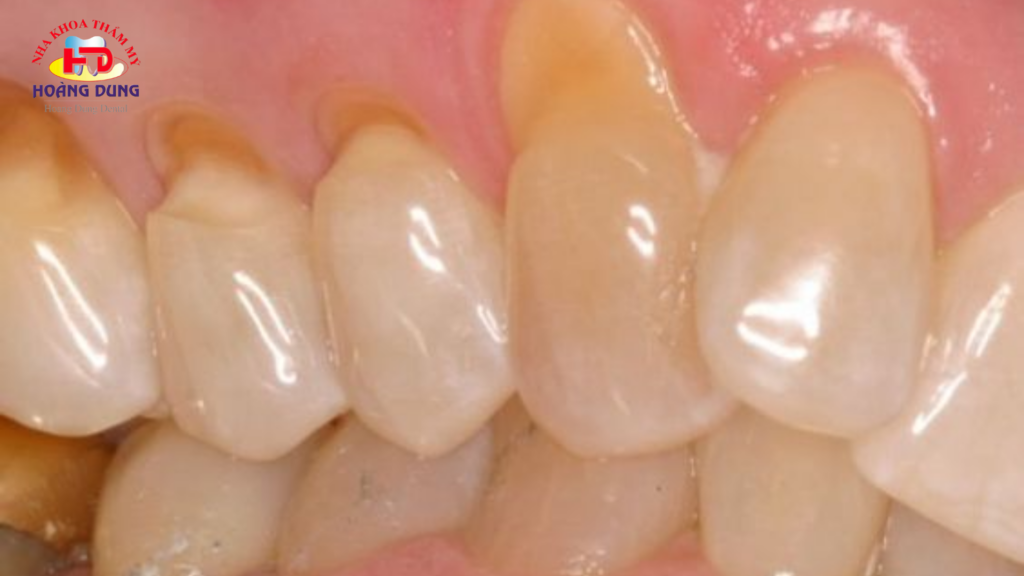
Mòn cổ chân răng là tình trạng tổ chức cứng (gồm men và ngà răng) bảo vệ bề mặt răng ở vùng cổ bị mất đi, làm mặt ngoài của răng xuất hiện một rãnh sâu hình chữ V. Lúc này, chân răng sẽ trở nên yếu đi và dễ bị tổn thương hơn.

Mòn cổ chân răng là tình trạng răng bị mất vùng tổ chức cứng bảo vệ bên ngoài hình thành nên các rãnh sâu chữ V nơi cổ răng
Nguyên nhân gây mòn cổ răng
Trên thực tế, nguyên nhân gây mòn cổ răng chủ yếu xuất phát từ thói quen chăm sóc răng miệng không đúng cách và chế độ ăn uống không lành mạnh:
Đánh răng sai cách
Đánh răng với lực quá mạnh hay sử dụng bàn chải quá cứng có thể gây hại cho men răng. Từ đó làm men răng bị mòn đi nhanh chóng và dẫn đến mòn cổ răng.
Việc chải răng theo chiều ngang cũng dễ làm cho phần lợi bị tụt thấp xuống, lộ chân răng. Khi đó, từ cổ răng đến chấn răng chỉ có lớp ngà răng bao phủ, không có lớp men răng cứng chắc bảo vệ nên cổ răng dễ bị mòn và tốc độ mòn cũng nhanh hơn.
Cao răng tích tụ lâu ngày
Lớp cao răng tích tụ lâu ngày sẽ trở nên cứng chắc và đẩy lợi răng xuống. Khi đó có thể xảy ma sát giữa cao răng và lớp men ở vùng cổ răng. Theo thời gian, lớp men này sẽ bị mài mòn dần.
Chế độ dinh dưỡng
Sử dụng nhiều đồ uống có gas, đồ ăn chứa nhiều đường, tinh bột, thức uống có cồn,…có thể gây mòn cổ răng. Vì acid được tạo ra từ những đồ ăn thức uống này sẽ làm quá trình mòn men răng diễn ra nhanh hơn.
Răng lệch lạc
Phần lợi phủ ở những chiếc răng mọc lệch lạc thường mỏng hơn so với những chiếc răng khác trên cung hàm. Về lâu dài lợi dễ bị tụt và gây mòn cổ răng.
Một số nguyên nhân khác
Tình trạng mòn cổ răng cũng có thể bắt nguồn từ những nguyên nhân như di truyền, cơ thể thiếu canxi, khớp cắn sai lệch, thói quen nghiến răng, cắn móng tay, biến chứng sau phẫu thuật,…
Các dấu hiệu của mòn cổ răng
Bạn có thể nhận biết tình trạng mòn cổ răng qua một số dấu hiệu sau đây:
Răng nhạy cảm với nhiệt độ
Cổ chân răng bị mòn sẽ khiến răng trở nên nhạy cảm hơn với thay đổi nhiệt độ. Khi tiếp xúc với đồ ăn thức uống quá nóng hoặc quá lạnh người bệnh sẽ cảm thấy đau buốt và khó chịu vô cùng. Thậm chí tình trạng này còn xảy ra khi đánh răng, súc miệng.
Răng thay đổi màu sắc
Lớp men răng bị mài mòn có thể làm răng bị thay đổi màu sắc. Răng không còn vẻ trắng sáng tự nhiên mà thường trở nên mờ hoặc có màu vàng.
Nướu sưng đỏ, đau nhức
Chân răng bị mòn quá mức sẽ chạm đến phần tủy răng. Từ đó gây đau đớn, khó chịu cho người bệnh và cản trở nhiều đến hoạt động ăn nhai. Lâu dần, tủy răng chết đi sẽ dẫn đến tình trạng viêm nhiễm ở cuống răng, gây sưng nướu, mưng mủ.
Răng trông dài hơn
Khi men răng bị mài mòn, phần chân răng sẽ bị lộ ra và không còn được nướu che phủ. Điều này làm cho răng trông dài hơn và có thể xuất hiện khoảng trống giữa các răng.

Mòn cổ chân răng có nguy hiểm không?
Tình trạng mòn cổ răng có thể xảy ra ở nhiều độ tuổi khác nhau. Nếu không sớm phát hiện và điều trị, mòn cổ răng sẽ hình thành các rãnh to, gây đau nhức, ê buốt và thậm chí là gãy răng. Khi tình trạng này tiến triển nặng, chạm đến tủy răng, những cơn đau có thể lan rộng và thậm chí là lan đến đỉnh đầu.
Chưa kể, tình trạng mòn cổ răng nếu không điều trị kịp thời có thể làm răng bị hư hỏng nặng, mục chân răng. Nếu bị gãy ngang cổ răng sẽ rất để xử lý, lúc này buộc người bệnh phải nhổ bỏ răng và trồng lại răng mới.
Chân răng bị mòn trong khoảng thời gian dài sẽ làm tụt lợi, lộ chân răng. Nếu người bệnh vẫn chủ quan không điều trị sẽ ảnh hưởng xấu đến khớp nhai và khoang miệng. Vì răng bị lung lay, đau nhức, có nguy cơ mất răng nên việc ăn uống của người bệnh cũng trở nên khó khăn hơn, chỉ ăn được đồ mềm, nhạt.
Điều trị mòn cổ chân răng như thế nào?
Theo các bác sĩ nha khoa, mòn cổ răng có thể chữa trị được và chữa trị không khó nếu các tổ chức răng chưa bị phá hủy nhiều, tủy chưa bị chết, chưa nhiễm trùng cuống răng hay gãy răng.
Do đó, ngay khi phát hiện dấu hiệu cổ chân răng bị ăn mòn, có cảm giác ê buốt, bạn cần nhanh chóng đến gặp ngay bác sĩ để sớm được điều trị.
Ở giai đoạn đầu
Trường hợp mòn cổ răng chỉ là một khe nhỏ hoặc to hơn hình chữ V, chưa gây ảnh hưởng nghiêm trọng đến tủy răng. Bác sĩ thường khuyên bệnh nhân trám mòn cổ chân răng.
Theo đó, bác sĩ tiến hành sẽ loại bỏ toàn bộ tổ chức bệnh. Sau đó lấp kín khe hở bằng vật liệu hàn răng chuyên dụng, có màu tương tự với màu răng thật. Việc hàn răng không chỉ bù vào phần răng đã mất mà còn giúp khôi phục tính thẩm mỹ và bảo vệ răng.
Trám cổ chân răng là cách khắc phục tình trạng mòn cổ răng hiệu quả ở giai đoạn đầu
Ở giai đoạn sau
Trường hợp mòn cổ răng làm ảnh hưởng đến tủy răng, gây đau nhức, viêm nhiễm vùng cuống răng hay gãy ngang thân răng. Bác sĩ sẽ tiến hành chữa tủy răng để loại bỏ mô tủy bị tổn thương, giúp ngăn ngừa sự lây lan của vi khuẩn và bảo vệ răng khỏi những ảnh hưởng tiêu cực khác.
Sau đó, bác sĩ có thể có thể đề xuất cho người bệnh bọc răng sứ để phục hình răng, đảm bảo chức năng ăn nhai và thẩm mỹ của răng.
Biện pháp phòng ngừa mòn cổ răng
Để ngăn ngừa tình trạng mòn cổ răng, bạn có thể áp dụng các biện pháp sau đây:
Vệ sinh răng miệng đúng cách
Bạn nên đánh răng bằng bàn chải có đầu lông mềm, dùng kem đánh răng có chứa Fluor. Chải răng theo chiều dọc hoặc xoay tròn, chải răng nhẹ nhàng, không dùng lực quá mạnh, chải sạch tất cả các mặt của răng: mặt trong, mặt ngoài, mặt trên cùng.
Việc chải răng đúng cách không chỉ giúp răng miệng được vệ sinh sạch sẽ mà còn giúp xoa bóp nhẹ nhàng vùng lợi sát răng. Từ đó tăng lưu thông máu cho lợi, làm lợi chắc khỏe và không gây tụt lợi.
Tuy nhiên, chỉ chải răng thôi chưa đủ, bạn còn phải kết hợp sử dụng thêm chỉ nha khoa và nước súc miệng để làm sạch các kẽ răng một cách triệt để, ngăn ngừa mảng bám hình thành.

Chế độ ăn uống khoa học, hạn chế thức ăn cứng
Hạn chế tiêu thụ các đồ ăn thức uống có chứa axit, đường, cồn,…vì chúng có thể gây mòn men răng. Tránh ăn nhai thức ăn quá cứng, nhất là khi bạn bị mất men răng ở phần cổ hoặc có vấn đề về răng lệch lạc.

Khám răng định kỳ 2 lần/năm
Duy trì thói quen thăm khám răng miệng định kỳ 6 tháng/lần để các bác sĩ loại bỏ mảng bám và cạo vôi răng, giúp bảo vệ men răng. Đồng thời, sớm phát hiện các vấn đề về răng miệng, tránh để chúng tiến triển nghiêm trọng.

Mòn cổ chân răng là bệnh lý nguy hiểm, nó có thể gây ra những ảnh hưởng tiêu cực đến sức khỏe răng miệng và cuộc sống sinh hoạt hàng ngày. Vì vậy, hãy chủ động phòng ngừa bằng cách chăm sóc răng miệng bằng đúng cách, có chế độ ăn uống hợp lý. Quan trọng hơn hết là thăm khám thường xuyên tại Nha Khoa Hoàng Dung để mòn cổ răng sớm được phát hiện và điều trị kịp thời, tránh xảy ra biến chứng về sau.